Voltar


Serviços para terceiros

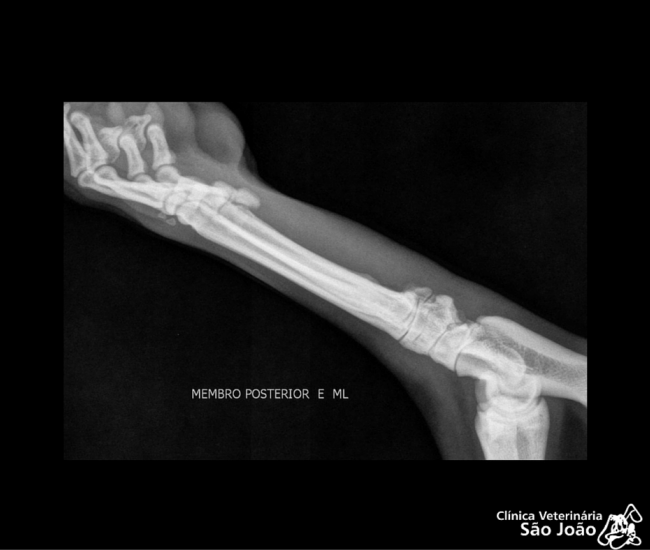
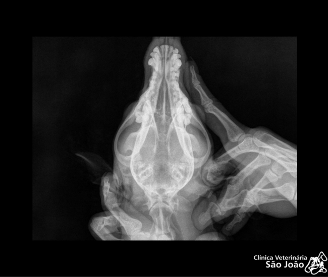
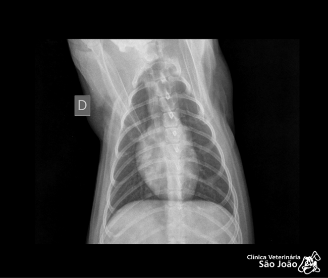
Conheça as vantagens do Raio-x digital

Os veterinários de Caxias e região já podem contar com o serviço de Raio-x digital oferecido pela Clínica São João. 

Possuimos o equipamento AGFA – CR10X, fabricado pela empresa Belga Agfa (que já era líder em radiologia médica e agora passa a atuar também no desenvolvimento de tecnologias para a medicina veterinária). 

- Diferentemente do raio-x analógico, este raio-x oferece altíssima definição e todas as vantagens da tecnologia digital. É possível aproximar a imagem, trabalhar o contraste, exposição.O software permite ainda avaliações da medida cardíaca do animal e graus de displasia coxofemoral, por exemplo – explica o Dr. Nardeli Lucena.

O raio-x digital possibilita ainda a redução da radiação a que o animal deve ser exposto e também diminuição no tempo de duração do exame. O que se torna muito vantajoso tanto para o animal, quanto para o médico radiologista e para o acompanhante do animal ( que geralmente precisa permanecer na sala).

Outra importante vantagem da radiografia computadorizada é que ela é uma tecnologia limpa, que não gera resíduos. É possível imprimir o Raio-X digital, gravá-lo em um CD ou pen-drive, mas muitos veterinários, optam pelo  envio das imagens por e-mail, o que torna mais rápido o diagnóstico.

- O veterinário tem as imagens em seu computador ao mesmo tempo em que paciente continua aqui conosco. Assim, por telefone, nos comunicamos e podemos refazer o que for preciso, radiografar novas áreas. Isso torna ainda mais rico o trabalho do veterinário clínico e do veterinário radiologista – explica Lucena, que foi o pioneiro em radiologia veterinária em Caxias do Sul.

O serviço também é realizado pelo médico veterinário Alessandro Nora Lucena, especializado em diagnóstico por imagem, nas áreas de ecografia e radiologia.

Principais vantagens do raio-x digital:

- muito menor tempo para execução, menor exposição, menor tempo de espera;

- melhor qualidade da imagem;

- melhor detalhamento técnico;

- diagnósticos mais precisos;

- sofware com medidas para avaliações do tamanho cardíaco e medições dos ângulos de Norberg para diagnóstico e classificação de displasias coxofemorais;

Veterinários interessados na utilização deste serviço devem entrar em contato pelos fones: (54) 3221.6154 e (54) 3214.4151.